ȸ¿ø°¡ÀÔ
|
·Î±×ÀÎ
À̺¥Æ®
º¸ÇèÅåÅå
樨毢
»ê¸ð±³½Ç
ÅåÅå°¶·¯¸®
¹Ù¿ìó¸ô
À̺¥Æ®
±¹¹ÎÇູīµå À̺¥Æ®
žƺ¸Çè »ó´ã½Åû
¹ÌÁîÆÑ ½Åû
·°Å° Á¶ÀÎ
´ç÷ÀÚ ¹ßÇ¥
º¸ÇèÅåÅå
¼³°èÇÁ·Î±×·¥
³ªÀÇ ¼³°è¾È
¼³°è¾È »Ë³»±â
º¸Çè¹®ÀÇ
樨毢
¹ÌÁîÅåÅåTV
±¹¹ÎÇູīµå ¿µ»ó
žƺ¸Çè ¿µ»ó
»ê¸ð±³½Ç ¿µ»ó
»ê¸ð±³½Ç
½Åû/¹ßÇ¥
»ê¸ð±³½ÇÈıâ
ÅåÅå°¶·¯¸®
ÃÊÀ½ÆÄ °¶·¯¸®
¹ÌÁîÆÑ Èıâ
±¹¹ÎÇູīµå Èıâ
žƺ¸Çè °¡ÀÔÈıâ
ÃÊÀ½ÆÄ¾Ù¹ü Èıâ
¹Ù¿ìó¸ô
¹Ù¿ìó¸ô
ÃÊÀ½ÆÄ °¶·¯¸®
H
°¶·¯¸®
ÃÊÀ½ÆÄ °¶·¯¸®
Á¦¸ñ
³»¿ë
Á¦¸ñ+³»¿ë
ÀÛ¼ºÀÚ
°Ë»ö
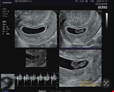
Á¤»óÁ¤ÀÚ 1%¿Í AMH 1.13 30´ë Áß¹Ý ÀÚ¿¬ÀÓ½Å
ÃßÃ߸¶¹Ì¹Ö
2026-05-15
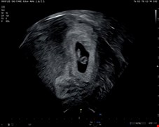
³Ê¹« ÀÛ°í ¼ÒÁßÇÑ 4cm »ï»ïÀÌ
žç»ï»ïÀÌ
2026-05-14
¼ÒÁßÇÑ ´ë¹ÚÀ̰¡ ã¾Æ¿Ô¾î¿ä 🩵
ÈôµÕÀÌ
2026-05-04
¿ì¸® ÅÂdzÀÌ ¾¦¾¦ Àß Å©°í ÀÖ¾î¿ä~~^^
ÀûÅ丶ÅÂdzÀ̸¾
2026-05-04
¸¸45¼¼ ù¾Æ±â
¿µ½ÉÀ̸¾
2026-04-15
ù ¾ÆÀÌ
ÁöÅÍ
2026-03-30
µÑÂî ¶Ê¶ÊÀÌ
ÇÏ´ÙÂî
2026-03-27
Äá¾Ëº¸´Ù ÀÛÀº°Ô ¹ú½áºÎÅÍ ±Í¿©¿ö
È«½Ã¸¾a
2026-03-20
µåµð¾î ³ª¿¡°Ôµµ õ»ç°¡
¾Æ¸§¾¦¾¦
2026-03-17
¿ªÀü ÈÄ ¹Ù·Î »êºÎÀΰú¿¡ °¬´õ´Ï..!
³ª³ª10
2026-03-10
µåµð¾î ù°°¡ »ý°å¾î¿ä^^
Ç޻츾08
2026-03-09
µåµð¾î ·Î¶Ç¸¦ ¸¸³µ½À´Ï´Ù!
¿¡¸®Ä«Ä«
2026-03-06
1
2
3
4
5
6
7
8
9
10
±Û¾²±â